25 / Feb
-
IMPROVING BONE KNOWLEDGE
At iBoneLab we can help you shape and implement your idea, thanks to our knowledge and experience in each one of the stages of research on materials in the tissues.Read More -
IMPROVING BONE KNOWLEDGE
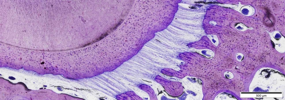
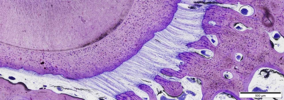
Through embedding in plastic and thin section technology, we at iBoneLab obtain high-quality microscopic images of any hard material, be it organic or synthetic.Read more -
IMPROVING BONE KNOWLEDGE
The evaluation and 3D reconstruction of microtomography scanners enables us to enhance the achieved results, as regards to both the characteristics of tissues and materials and their interaction.Read more
WHO WE ARE
We at iBoneLab are experts in the study of the integration of biomaterials in living tissues.
We conduct pre-clinical tests in various species, obtaining from them samples for analysis.
We optimized the histological “thin section” technique, which makes it possible for both the tissues and the implanted materials to remain unaltered for their microscopic study.
We can complete our research with microtomography, which provides us with data on the bone microstructure and density and its interaction with the materials.



