Preclinical evaluation of a bone graft with a marine origin
This month was published the article “Preclinical Evaluation of an Innovative Bone Graft of Marine Origin for the Treatment of Critical-Sized Bone Defects in an Animal Model” in “Applied Sciences” journal in which we participate.
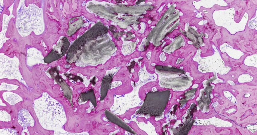
In this paper are reported the biocompatibility results of a marine bone graft biomaterial (doi: 10.3390/app11052116). Also, are shown the osseointegration results evaluated by microCT and thin section histology.
The bone graft tested in this study was obtained from Prionace glauca and Isurus oxyrinchus, two shark species commonly used for human alimentation. This supposes the valorization of discarded productos of the fishing sector.
As is reported in the paper, the biocompatibility results and the osseointegration of the new material (Image 1) were comparable and even better than the bovine bone graft (Image 2) used as control.
Image 1: Marine origin bone graft. Levai-Laczkó staining method. 4X
Image 1: Bovine bone graft used as control. Levai-Laczkó staining method. 4X.
In iBoneLab we contributed in all the steps of the study, from the experimental design to the results.

